ИИ определяет возраст человека по рентгенограмме груди


Фото из открытых источников
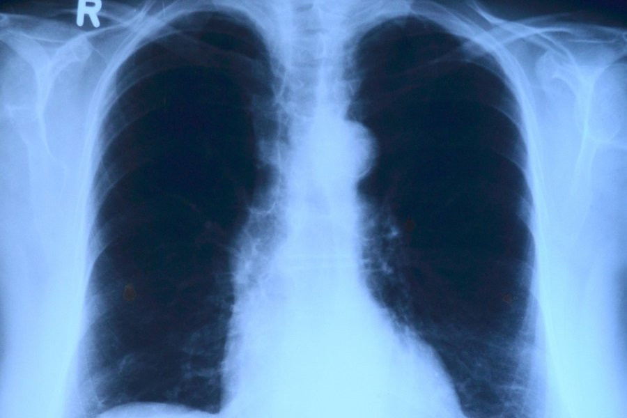
Искусственный интеллект теперь способен определить возраст человека, анализируя рентгеновские снимки грудной клетки. Эту новость сообщает журнал The Lancet.
 
Исследователи из Высшей школы медицины Осаки (Япония) протестировали модель искусственного интеллекта на 67 099 рентгенограммах грудной клетки. Эти снимки были сделаны в период с 2008 по 2021 год и принадлежали 36 051 здоровому человеку. Модель искусственного интеллекта успешно определила связь между предполагаемым возрастом, вычисленным на основе анализа ИИ, и реальным хронологическим возрастом людей. Коэффициент корреляции составил 0,95, что свидетельствует об очень сильной связи между этими показателями. Дополнительно эксперты использовали 34 197 рентгенограмм грудной клетки от пациентов, у которых уже были диагностированы различные заболевания. 
 
Исследование показало, что разница между возрастом, определенным искусственным интеллектом, и хронологическим возрастом пациента была связана с определенными заболеваниями. Вероятность наличия гипертонии, гиперурикемии и хронической обструктивной болезни легких увеличивалась с ростом предсказанного возраста, полученного ИИ.